Đăng nhập
icon Đăng ký gói bạn đọc VIP E-paper
Người thầy thuốc trong tôi: Hành trình vá tim lỗi nhịp

Người thầy thuốc trong tôi: Hành trình vá tim lỗi nhịp

Từ điều kiện thiếu thốn ban đầu, những đêm trăn trở giữ lại sự sống cho trẻ đến các ca ghép tim xuyên Việt, những bác sĩ góp thêm kỳ tích cho y học nước nhà

Trạm Công dân số: Mô hình đột phá được Chính phủ đưa vào lộ trình phổ cập toàn quốc

Trạm Công dân số: Mô hình đột phá được Chính phủ đưa vào lộ trình phổ cập toàn quốc

Vừa qua, Chính phủ ban hành Quyết định số 826/QĐ-TTg phê duyệt Chương trình Đề án 06 giai đoạn 2026 - 2030, thúc đẩy công cuộc chuyển đổi số quốc gia.

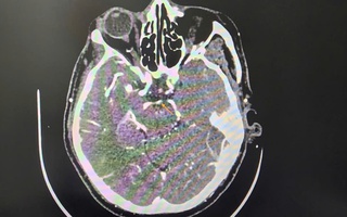
Cứu sống bé gái chuyển viện trong tình trạng "ngàn cân treo sợi tóc"

Cứu sống bé gái chuyển viện trong tình trạng "ngàn cân treo sợi tóc"

(NLĐO) - Bé gái này bị xuất huyết não do vỡ dị dạng - một bệnh lý mạch máu vô cùng nguy cấp và dễ tử vong.

Có thể điều trị nội soi ung thư dạ dày, không cần phẫu thuật

Có thể điều trị nội soi ung thư dạ dày, không cần phẫu thuật

(NLĐO)- Tầm soát bằng nội soi giúp phát hiện tổn thương khi còn khu trú, từ đó có thể điều trị qua nội soi, không cần phẫu thuật vẫn hướng đến mục tiêu triệt để

Thu hồi toàn bộ một lô nước muối nhỏ mắt Natri clorid 0,9%

Thu hồi toàn bộ một lô nước muối nhỏ mắt Natri clorid 0,9%

(NLĐO) - Lô thuốc nhỏ mắt Natri clorid 0,9%, thường được gọi là nước muối nhỏ mắt do Pharmedic sản xuất, vừa bị thu hồi vì không đạt tiêu chuẩn độ trong.

Tử vong do ung thư ở Việt Nam cao vì phát hiện bệnh muộn

Tử vong do ung thư ở Việt Nam cao vì phát hiện bệnh muộn

(NLĐO) - Theo thống kê, tỉ lệ mắc ung thư tại Việt Nam không cao so với thế giới nhưng tỉ lệ tử vong lại cao

TPHCM hỗ trợ toàn diện Bệnh viện Đa khoa Bà Rịa, hướng tới bệnh viện cửa ngõ phía Đông Nam

TPHCM hỗ trợ toàn diện Bệnh viện Đa khoa Bà Rịa, hướng tới bệnh viện cửa ngõ phía Đông Nam

(NLĐO) - Việc phát triển thành bệnh viện cửa ngõ sẽ hình thành cực y tế mới gắn với khu vực cảng biển, logistics, công nghiệp và đô thị đang phát triển mạnh.

Mỹ phẩm Việt Hương vừa bị thu hồi 511 sản phẩm là công ty nào?

Mỹ phẩm Việt Hương vừa bị thu hồi 511 sản phẩm là công ty nào?

(NLĐO) - Mỹ phẩm Việt Hương bị thu hồi, tiêu hủy 511 sản phẩm trên toàn quốc do nhà máy không đáp ứng tiêu chuẩn sản xuất mỹ phẩm CGMP-ASEAN.

Đồ ăn kiêng có thể gây gan nhiễm mỡ nếu chứa thứ này

Đồ ăn kiêng có thể gây gan nhiễm mỡ nếu chứa thứ này

(NLĐO) - Một nghiên cứu mới từ Mỹ chỉ ra thủ phạm thúc đẩy gan nhiễm mỡ ẩn trong nhiều loại thực phẩm "không đường", "ít calo".

Bệnh viện 30-4 được công nhận là trung tâm độc lập về kỹ thuật tạo nhịp tim không dây

Bệnh viện 30-4 được công nhận là trung tâm độc lập về kỹ thuật tạo nhịp tim không dây

(NLĐO)- Chứng nhận đánh dấu bước tiến chuyên môn quan trọng trong lĩnh vực tim mạch chuyên sâu, đặc biệt là điều trị rối loạn nhịp và tạo nhịp tim.

Vì sao người trẻ giảm "ham muốn"?

Vì sao người trẻ giảm "ham muốn"?

(NLĐO)- Rối loạn chức năng tình dục ở nam giới trẻ hiện nay thường không xuất phát từ một nguyên nhân đơn lẻ mà là hệ quả của lối sống kéo dài qua nhiều năm.

Tăng huyết áp - “kẻ giết người thầm lặng” bị bỏ sót ở hàng triệu người Việt

Tăng huyết áp - “kẻ giết người thầm lặng” bị bỏ sót ở hàng triệu người Việt

(NLĐO) - Tăng huyết áp là bệnh dễ phát hiện nhưng hàng triệu người Việt không biết mình mắc bệnh cho đến khi xuất hiện biến chứng nguy hiểm.

TP HCM lần đầu hỗ trợ cấp khai sinh cho Việt kiều hồi hương không giấy tờ

TP HCM lần đầu hỗ trợ cấp khai sinh cho Việt kiều hồi hương không giấy tờ

(NLĐO) - 5 trường hợp là Việt kiều bị trục xuất về nước không có giấy tờ tuỳ thân đã được cấp và trao giấy khai sinh.

Đỉnh cao của y học hiện nay là điều trị ngay từ trong bào thai

Đỉnh cao của y học hiện nay là điều trị ngay từ trong bào thai

(NLĐO) - Điều trị cho thai nhi ngay khi còn trong bụng mẹ đóng vai trò quan trọng trong chiến lược nâng cao chất lượng dân số ngay từ giai đoạn bào thai.

Thu hồi 511 sản phẩm mỹ phẩm do Công ty Việt Hương sản xuất

Thu hồi 511 sản phẩm mỹ phẩm do Công ty Việt Hương sản xuất

(NLĐO) - Bộ Y tế đình chỉ lưu hành, thu hồi và buộc tiêu hủy 511 mỹ phẩm của Công ty TNHH mỹ phẩm Việt Hương do không đáp ứng tiêu chuẩn sản xuất mỹ phẩm.

Va chạm khi chơi pickleball, người đàn ông phải phẫu thuật mắt

Va chạm khi chơi pickleball, người đàn ông phải phẫu thuật mắt

(NLĐO) - Người đàn ông 39 tuổi nhập viện trong tình trạng tổn thương nặng mắt trái, thị lực suy giảm sau va chạm khi chơi pickleball.

Bộ tiêu chuẩn bệnh viện không thể chỉ “nâng cấp câu chữ”

Bộ tiêu chuẩn bệnh viện không thể chỉ “nâng cấp câu chữ”

(NLĐO) - Bộ tiêu chuẩn chất lượng nâng cao đối với bệnh viện không thể chỉ là phiên bản “nâng cấp câu chữ” của bộ tiêu chí hiện hành.

Từ ngày mai, hút thuốc lá điện tử bị phạt đến 5 triệu đồng

Từ ngày mai, hút thuốc lá điện tử bị phạt đến 5 triệu đồng

(NLĐO)- Nghị định này được kỳ vọng sẽ tạo công cụ pháp lý đắc lực để cực xây dựng môi trường văn minh không khói thuốc.

Lời phát biểu xúc động của tân Giám đốc Bệnh viện Chợ Rẫy

Lời phát biểu xúc động của tân Giám đốc Bệnh viện Chợ Rẫy

(NLĐO) - "Là một học sinh lớn lên từ hải đảo - nơi cách biệt và trở ngại về giao thông với đất liền, tôi chưa từng dám nghĩ tới việc sẽ trở thành một bác sĩ"

Nghiên cứu từ 280.000 người: Thói quen khiến bạn dễ tăng cân

Nghiên cứu từ 280.000 người: Thói quen khiến bạn dễ tăng cân

(NLĐO) - Một thói quen ngày càng phổ biến - nhất là ở người sống ở thành thị - có thể là nguyên nhân của "đại dịch béo phì", theo một nghiên cứu mới.

Chủ quan với triệu chứng đau lưng, người đàn ông phát hiện ung thư thận

Chủ quan với triệu chứng đau lưng, người đàn ông phát hiện ung thư thận

(NLĐO) - Với triệu chứng đau thắt lưng, ung thư thận thường bị nhầm lẫn với các bệnh lý cột sống hay cơ xương khớp, khiến người bệnh chủ quan

Lên đầu Top

Gia hạn tài khoản bạn đọc VIP

Chọn phương thức thanh toán

Tài khoản bạn đọc VIP sẽ được gia hạn từ  tới

    Chọn phương thức thanh toán

    Chọn một trong số các hình thức sau

    Tôi đồng ý với điều khoản sử dụng và chính sách thanh toán của nld.com.vn

    Thông báo