Ngày 8-12, Bệnh viện Bệnh Nhiệt đới Trung ương cho biết vừa tiếp nhận nam bệnh nhân 35 tuổi (quê Nghệ An) mắc bệnh Whitmore tại Thái Lan, nơi bệnh nhân làm việc trước khi về nước.
Bệnh nhân hôn mê sâu do nhiễm vi khuẩn gây bệnh Whitmore. Ảnh: Đặng Thanh
Khoảng 5 tuần trước khi về Việt Nam, nam bệnh nhân bắt đầu sốt cao liên tục, khó thở, kích thích nhiều và phải vào cấp cứu tại một bệnh viện ở Thái Lan.
Tại đây, bác sĩ đặt nội khí quản hỗ trợ thở và xét nghiệm máu cho thấy bệnh nhân nhiễm vi khuẩn Burkholderia pseudomallei, gây bệnh Whitmore. Dù đã được điều trị, bệnh không cải thiện nên gia đình xin chuyển bệnh nhân về Việt Nam.
Chỉ sau ít ngày, người bệnh rơi vào sốc nhiễm khuẩn, suy đa tạng, sốt cao, rối loạn ý thức và được chuyển gấp đến Khoa Cấp cứu, Bệnh viện Bệnh Nhiệt đới Trung ương.
Bác sĩ Nguyễn Kim Anh, Khoa Cấp cứu, Bệnh viện Bệnh Nhiệt đới Trung ương, cho biết thời điểm tiếp nhận bệnh nhân đã hôn mê sâu, Glasgow 9 điểm, mất phản xạ đường thở, phụ thuộc hoàn toàn vào máy thở. Nhiệt độ cơ thể 41-42°C kèm run cơ toàn thân, gợi ý tăng thân nhiệt ác tính trên nền nhiễm khuẩn huyết tối cấp.
Xét nghiệm cho thấy chức năng gan rối loạn, chỉ số đông máu bất thường; thận giảm lọc nhanh và gần như không có nước tiểu; dấu hiệu suy gan, suy thận cấp. Bệnh nhân lại có sẵn bệnh đái tháo đường và viêm gan C mạn, khiến cơ thể càng suy yếu.
Đánh giá đây là một trong những thể tối cấp của bệnh Whitmore với nguy cơ tử vong rất cao nên các các sĩ đã triển khai đồng thời nhiều biện pháp gồm an thần sâu, hạ thân nhiệt chủ động, đặt đường truyền trung tâm, phối hợp kháng sinh và lọc máu liên tục để hỗ trợ thận...
Sau ba ngày hồi sức, bệnh nhân bắt đầu cắt sốt, các chỉ số viêm giảm, huyết áp ổn định hơn, chức năng gan thận cải thiện, tri giác phục hồi. Trong ba tuần điều trị, bệnh nhân dần hồi phục, tập thở tự nhiên và hồi phục vận động.

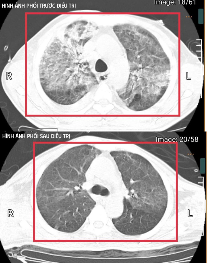
Phổi của bệnh nhân trước và sau điều trị
Theo bác sĩ Kim Anh, Whitmore là bệnh nguy hiểm, có thể gây suy đa tạng và tử vong nhanh, đặc biệt ở người có bệnh nền như đái tháo đường, bệnh gan mạn, hoặc làm việc trong môi trường đất nước ẩm. Bệnh có thể khởi phát không điển hình: Sốt kéo dài, mệt mỏi, đau đầu, đau cơ, ho, sụt cân hoặc rối loạn tri giác.
Whitmore là bệnh truyền nhiễm cấp tính nguy hiểm do vi khuẩn gram âm Burkholderia pseudomallei gây ra cho người và động vật. Dân gian thường gọi đây là vi khuẩn "ăn thịt người". Vi khuẩn xuất hiện nhiều vào mùa mưa lũ, phổ biến ở vùng nông thôn, khu vực sình lầy và nguồn nước ô nhiễm.
Do đó, người có yếu tố nguy cơ hoặc sốt kéo dài không rõ nguyên nhân cần đến cơ sở chuyên khoa để xét nghiệm, chẩn đoán và điều trị kịp thời, đồng thời tuân thủ đủ phác đồ kháng sinh kéo dài để tránh tái phát.

Bình luận (0)