Sáng 26-12, Bệnh viện Quân y 175 (TPHCM) cho hay nơi đây vừa phẫu thuật cứu nữ bệnh nhân L.T.T (48 tuổi, ở Lâm Đồng) bị dị vật trôi vào tim hiếm gặp.


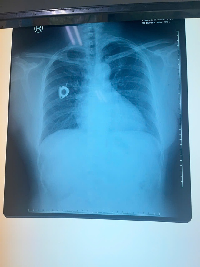
Hình ảnh dị vật chèn ngang động mạch phổi qua phim chụp CT và X-quang
Trước đó, bệnh nhân bị ung thư trực tràng. Trong thời gian hóa trị, bệnh nhân được đặt buồng tiêm tĩnh mạch dưới da (Port-a-Cath) để truyền hóa chất vào tĩnh mạch chủ. Sau khi hoàn tất liệu trình điều trị ung thư gồm hóa – xạ trị và phẫu thuật nhưng không được tư vấn cụ thể, bệnh nhân vẫn giữ catheter trong cơ thể suốt ba năm dù không còn sử dụng.


Ê-kíp phẫu thuật và dị vật được lấy ra
Mới đây, bệnh nhân đi khám tầm soát và chụp CT ngực tại một cơ sở y tế tư nhân thì phát hiện dị vật trong tim, nằm vắt ngang tại vị trí động mạch phổi hai bên. Sau đó, bệnh nhân quay về bệnh viện đã điều trị ung thư trực tràng để tiếp tục thăm khám và được tiến hành chụp X-quang ngực.

Hình ảnh CT-Scan sau khi rút dị vật
Kết quả ghi nhận mất liên tục thân catheter, xác định catheter đã bị đứt. Phần buồng truyền dưới da vẫn còn tại vị trí dưới xương đòn phải, phần đầu còn lại đã di chuyển về tim và nằm trong động mạch phổi.
Bệnh nhân được chỉ định rạch lấy phần catheter còn lại dưới da tại vị trí đặt port. Sau khi rạch, bác sĩ rút được phần catheter gần nhưng không thể rút được đoạn xa vì đã trôi sâu vào buồng tim di chuyển đến động mạch phổi. Sau đó, bệnh nhân được tư vấn đến Bệnh viện Quân y 175 để xử trí chuyên sâu.
Can thiệp tại vị trí "khó nhất", không cần phẫu thuật
Tại Bệnh viện Quân y 175, các bác sĩ Khoa Can thiệp Tim mạch đánh giá đây không phải là ca bệnh phức tạp về kỹ thuật lấy dị vật. Tuy nhiên, điều đặc biệt là khả năng catheter bị đứt rồi trôi sâu vào động mạch phổi là cực kỳ hiếm gặp. Hầu hết các trường hợp catheter đứt đều dừng lại ở tĩnh mạch ngoại vi, nhĩ phải hoặc thất phải. Việc dị vật đi sâu đến động mạch phổi khiến thao tác gắp trở nên khó khăn hơn rất nhiều.

Bác sĩ thăm khám cho người bệnh sau phẫu thuật
Ê-kíp đã lựa chọn phương pháp lấy dị vật qua đường tĩnh mạch đùi, tránh phẫu thuật mở ngực – mổ tim vốn tiềm ẩn nhiều rủi ro và thời gian hồi phục kéo dài. Dụng cụ snare chuyên dụng được đưa từ tĩnh mạch đùi lên tĩnh mạch chủ dưới, vào nhĩ phải, qua van ba lá đến thất phải và tiếp cận động mạch phổi. Tại vị trí phân nhánh động mạch phổi, một điểm rất khó tiếp cận, ê-kíp đã gắp chính xác đoạn catheter bị đứt và đưa ra ngoài an toàn.
ThS-BS Hoàng Hải Anh, Khoa Can thiệp Tim mạch-Bệnh viện Quân y 175, cho biết trường hợp này không phải là ca can thiệp phức tạp nhưng điều hiếm gặp là dị vật di chuyển rất sâu. Vị trí nằm sát vùng chia nhánh động mạch phổi khiến thao tác tiếp cận trở nên khó khăn. Nếu để lâu dài, bệnh nhân có thể bị tắc mạch phổi hoặc rối loạn nhịp tim đe dọa tính mạng. Đây cũng là lần đầu tiên bệnh viện tiếp nhận và phải lấy dị vật ở vị trí sâu trong tim đến như vậy.
Nhờ kỹ thuật ít xâm lấn, ca can thiệp diễn ra thuận lợi, bệnh nhân tỉnh táo ngay sau thủ thuật, hồi phục tốt và xuất viện sau theo dõi ngắn.
Nguy cơ tử vong nếu dị vật nằm trong động mạch phổi
Theo BS Hoàng Hải Anh, trường hợp bệnh nhân có dị vật rơi vào động mạch phổi có thể gây nguy hiểm tính mạng do suy hô hấp cấp tính khi di vật di chuyển vào sâu hơn nữa hoặc các biến chứng như áp xe phổi, viêm phổi, hoại tử mô phổi, nhiễm khuẩn huyết. Dị vật này có thể chèn ép, làm tắc nghẽn mạch máu, dẫn đến thuyên tắc phổi, tăng áp lực lên tim phải và thậm chí gây suy tim phải mạn tính hoặc tử vong đột ngột.
Port-a-Cath cần được rút bỏ khi không còn chỉ định sử dụng. Việc để catheter quá lâu có thể khiến ống bị mòn, nứt hoặc gãy, đặc biệt khi nằm ở vị trí bị kẹp giữa các cấu trúc xương như xương đòn, xương sườn. Không tái khám sau điều trị cũng là nguyên nhân khiến nhiều biến chứng bị bỏ sót. Khi thấy đau, sưng hoặc khó truyền tại vị trí đặt port, người bệnh cần đến bệnh viện kiểm tra sớm. Hiện nay, các kỹ thuật lấy dị vật qua da an toàn, ít xâm lấn và là lựa chọn hiệu quả cho nhiều trường hợp.
Bình luận (0)