Bệnh nhân nam 78 tuổi, được gia đình đưa Bệnh viện Hữu Nghị (Hà Nội) ngày 25-11 trong tình trạng ho kéo dài và ho tăng nhiều những ngày gần đây.
Người nhà cho biết hai tuần trước ông có thực hiện cấy ghép implant (trồng răng giả) tại một phòng khám răng. Trong quá trình thao tác, bác sĩ nha khoa thông báo đánh mất một dụng cụ nhưng không xác định được vị trí rơi.

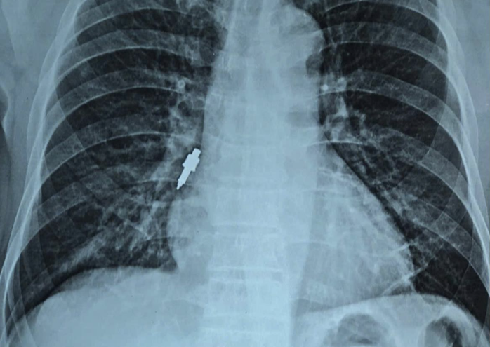
Dị vật phát hiện nằm trong phế quản phải. Ảnh: Bác sĩ cung cấp
Sau đó, bệnh nhân xuất hiện ho nhẹ đến kéo dài. Cách một ngày trước khi nhập viện, bệnh nhân ho tăng nhiều, chụp X-quang phát hiện vật cản ở phế quản phải nên được đưa đến bệnh viện.
Bác sĩ xác định đây là trường hợp dị vật đường thở hiếm gặp. Bệnh nhân được nội soi phế quản cấp cứu. Quá trình lấy dị vật gặp nhiều khó khăn vì vật thể bằng inox, trơn, kích thước lớn, dài 2,5 cm, đường kính chỗ rộng nhất khoảng 1 cm và mắc sâu vào phế quản phải.
Theo các bác sĩ, dị vật không thể gắp được bằng kìm sinh thiết - loại thường dùng với các dị vật thông dụng như hạt lạc, xương cá…, do đó, kíp thủ thuật phải thao tác thận trọng để tránh chảy máu, rách phế quản hoặc đẩy dị vật sâu xuống. Sau nhiều nỗ lực, ê-kíp đã gắp được vật thể và bơm rửa sạch đường thở.
Sau can thiệp, bệnh nhân tỉnh táo, hô hấp ổn định, giảm ho rõ rệt và tiếp tục được theo dõi tại Khoa Hô hấp - Dị ứng.

Dị vật là dụng cụ cấy ghép implant
Tến sĩ - bác sĩ Nguyễn Tiến Dũng, Trưởng Khoa Hô hấp - Dị ứng, cho biết dị vật kim loại kích thước lớn có thể gây tắc nghẽn đường thở, viêm phổi, áp xe phổi hoặc suy hô hấp nếu không được phát hiện sớm.
Mỗi năm, khoa tiếp nhận nhiều ca dị vật phế quản như hạt lạc, xương, mảnh thức ăn, nhưng dị vật là dụng cụ nha khoa là tình huống hiếm gặp, nguy cơ cao và đòi hỏi sự phối hợp nhanh giữa cơ sở nha khoa và bệnh viện chuyên khoa.
Bác sĩ Dũng khuyến cáo bác sĩ răng hàm mặt nên sử dụng biện pháp bảo hộ đường thở khi làm thủ thuật, nhất là cấy implant. Sau thủ thuật, nếu người bệnh có ho kéo dài, cảm giác vướng hoặc khó chịu vùng ngực, cần đi khám ngay để tránh bỏ sót dị vật. Người dân nên lựa chọn cơ sở nha khoa uy tín để đảm bảo an toàn khi can thiệp.
Bình luận (0)