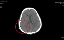
Trước khi nhập viện, bệnh nhân nam (35 tuổi) đột ngột đau đầu, nôn ói. Bệnh nhân được chuyển đến bệnh viện trong tình trạng xuất huyết lấp đầy toàn bộ hệ thống não thất. Tình trạng này gây bít tắc đường lưu thông của dịch não tủy, làm tăng áp lực nội sọ nghiêm trọng, đe dọa trực tiếp tính mạng của bệnh nhân.
BS Võ Doãn Tiến, Khoa ngoại Thần kinh - Cột sống - Bệnh viện Đa khoa Quốc tế Minh Anh, cho biết kết quả chụp CT-Scan dựng hình mạch máu não (CTA) cho thấy tình trạng hẹp rất nặng ở đoạn cuối của động mạch cảnh trong hai bên, có hình ảnh điển hình của bệnh lý Moyamoya. Đây là một bệnh lý hiếm gặp.

Bác sĩ tiến hành phẫu thuật cho người đàn ông mắc bệnh hiếm
Khi não bị thiếu máu, cơ thể sẽ phản ứng bằng cách tự tạo ra các mạch máu nhỏ, li ti, mỏng manh giống như "làn khói" để cố gắng bù trừ. Chính những mạch máu "tân tạo" này lại có thành mạch rất yếu, rất dễ vỡ. Ở bệnh nhân này, các mạch máu mỏng manh đó đã vỡ ra, gây nên tình trạng xuất huyết não nghiêm trọng.
Trước tình huống xuất huyết não thất nặng nề, các bác sĩ đã tiến hành phẫu thuật một đường mổ nhỏ với dụng cụ chuyên biệt, kính hiển vi phóng đại lấy được toàn bộ khối máu tụ, đồng thời đặt EVD dẫn lưu não thất kiểm soát áp lực nội sọ.
Sau phẫu thuật vài ngày, bệnh nhân đã tỉnh táo, có thể giao tiếp được. Từ 1 đến 3 tháng sau, khi tình trạng bệnh nhân ổn định, các bác sĩ sẽ tiến hành phẫu thuật bắc cầu trong và ngoài sọ để giải quyết triệt để tình trạng bệnh lý của bệnh nhân.
Bình luận (0)