Ngày 23-10, Bệnh viện Quân y 175 (TP HCM) cho hay đã điều trị thành công một bệnh nhân trẻ bị khuyết hổng xương chày do viêm xương tủy phức tạp bằng phẫu thuật chuyển vạt da tự do da-cân-cơ xương mác tự thân.

Bác sĩ kiểm tra sức khỏe bệnh nhân sau ca phẫu thuật
Nam bệnh nhân V.T.L (20 tuổi) bị gãy hở 2 xương cẳng chân trái đã được phẫu thuật đặt khung cố định ngoài, sau đó diễn biến viêm xương tủy xương điều trị nhiều đợt đến khi ổn định.
Ngày 23-9, anh L. nhập viện vào Khoa Bỏng và Vi phẫu tạo hình-Viện Chấn thương Chỉnh hình (Bệnh viện Quân y 175) trong tình trạng bị sẹo mổ cũ vùng trước xương chày xơ dính, còn khung cố định ngoài, khuyết xương chày khoảng 8 cm, gãy cũ xương mác trái, chân trái ngắn hơn chân phải khoảng 2 cm, không còn biểu hiện viêm hay nhiễm trùng.

Hình ảnh cho thấy bệnh nhân bị khuyết xương chày cẳng chân trái sau viêm xương tủy xương do gãy hở hai xương cẳng chân trái.
Sau thăm khám và hội chẩn, bệnh nhân được chẩn đoán: Khuyết xương chày cẳng chân trái sau viêm xương tủy xương do gãy hở hai xương cẳng chân trái năm thứ 2, còn khung cố định ngoài cẳng chân trái.
Bệnh nhân được phẫu thuật cắt bỏ đoạn xương viêm, làm mới ổ gãy; chuyển phức hợp vạt da xương mác tự do từ chân đối diện nối vào bó mạch chày trước cẳng chân trái bằng kỹ thuật vi phẫu, kết hợp xương bằng nẹp vít.
Ca phẫu thuật kéo dài 5 giờ, do BSCKII Thân Văn Hùng, Phó trưởng Khoa Bỏng – Tạo hình, Viện Chấn thương Chỉnh hình, làm trưởng ê-kíp. Hai ê-kíp mổ song song phẫu thuật tạo vạt tự do từ phía chân đối diện, đồng thời bộc lộ mạch máu tại vị trí nhận vạt. Sau đó chuyển phần vạt tự do sang nối với mạch máu tại vị trí nhận vạt.
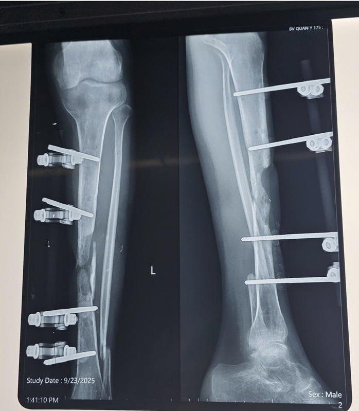
Sau 14 ngày phẫu thuật, vạt da hồng hào, siêu âm tại vùng nhận vạt mạch máu lưu thông tốt, đảm bảo vạt sống 100%, hình ảnh X-quang cho thấy xương thẳng trục, chiều dài 2 chân bằng nhau. Bệnh nhân hồi phục tốt, sinh hoạt bình thường, không có biến chứng sau mổ.
Bác sĩ Hùng cho biết thêm vạt da tự do nói chung và vạt da xương mác tự do là một trong những kỹ thuật đỉnh cao trong phẫu thuật tạo hình, không chỉ giúp bù đắp phần xương bị thiếu, che phủ mô mềm khuyết hổng mà còn tăng tưới máu vùng tổn thương, cải thiện nhiễm trùng và giúp bệnh nhân phục hồi sớm, trở lại sinh hoạt và lao động bình thường.
Theo TS-BS Phan Đình Mừng, Phó Giám đốc Bệnh viện Quân y 175 kiêm Giám đốc Viện Chấn thương Chỉnh hình, khuyết hổng xương chày sau viêm xương tủy xương là một biến chứng khó điều trị, có di chứng về chức năng chi thể, thường gặp sau những chấn thương gãy hở xương cẳng chân phức tạp. Nếu viêm xương tủy không được điều trị ổn định, có thể dẫn đến nhiễm khuẩn huyết, hoại tử xương tiến triển, ngắn chi, mất chức năng vận động hoặc thậm chí cắt cụt chi.
Do vậy, những tổn thương này đòi hỏi can thiệp phẫu thuật triệt để nhằm tái tạo xương và phần mềm. Những phương pháp điều trị truyền thống như ghép xương tự thân hoặc cố định ngoài thường hạn chế hiệu quả, nhất là với khuyết xương lớn. Trong khi đó, phẫu thuật chuyển vạt xương mác tự do (free fibula flap) là kỹ thuật đỉnh cao trong vi phẫu, vừa tái tạo được xương, vừa phục hồi mô mềm và cung cấp máu nuôi dồi dào, giúp xử lý triệt để tổn thương.
Bình luận (0)