Ngày 7-10, Bệnh viện Quân y 175 (TP HCM) cho biết vừa cứu sống một nữ bệnh nhân bị tai nạn giao thông nghiêm trọng, trong tình trạng đa chấn thương và sốc chấn thương nặng.
24 giờ giành giật sự sống sau tai nạn
Bệnh nhân này là chị N.T.H (24 tuổi, ngụ TP HCM). Trước đó, tối 13-9, chị H. bị xe container tông, được chuyển đến Bệnh viện Quân y 175 trong tình trạng sốc đa chấn thương nặng: dập phổi phải; vỡ bàng quang và buồng trứng phải, gây xuất huyết ổ bụng; gãy gai ngang đốt sống L2–L5; gãy phức tạp khung chậu kiểu "gió thổi".


Các bác sĩ đánh giá, hội chẩn tình hình của bệnh nhân (trái) cùng hình ảnh chụp Xquang xương chậu của bệnh nhân (phải)
Đại tá, TS-BS Phan Đình Mừng, Giám đốc Viện Chấn thương Chỉnh hình, Phó Giám đốc Bệnh viện Quân y 175, cho biết đây là trường hợp chấn thương phức tạp, người bệnh có tiên lượng xấu, nguy cơ tử vong cao. Ngay khi tiếp nhận, bệnh viện đã kích hoạt hệ thống báo động đỏ, huy động lực lượng liên chuyên khoa nỗ lực cứu chữa bệnh nhân
Ngay trong đêm, ca phẫu thuật liên chuyên khoa được triển khai khẩn cấp. Các bác sĩ đã thực hiện cố định ngoài khung chậu để ổn định vùng xương gãy, ngăn ngừa tổn thương nội tạng, đồng thời khâu bàng quang, bảo vệ hệ tiết niệu và khâu buồng trứng phải cho bệnh nhân.


Ngay trong đêm, ca phẫu thuật liên chuyên khoa được triển khai khẩn cấp
Bác sĩ đã phẫu thuật khẩn, ngăn chặn được tình trạng sốc đa chấn thương, cầm máu thành công và giành lại sự sống cho người bệnh. Sau 2 tuần điều trị tích cực, bệnh nhân được tháo cố định ngoài và phẫu thuật lần hai để nắn chỉnh lại các di lệch (có sử dụng công nghệ in 3D giúp tiên lượng mức độ khó của phẫu thuật và chọn các nắn chỉnh khung chậu và vị trí đặt nẹp) kết hợp xương bằng nẹp vít bên trong, giúp cố định vững chắc khung chậu. Hiện bệnh nhân có thể ngồi dậy và xuất viện về nhà.
Phẫu thuật khung chậu phức tạp: Kỹ thuật cao, hiếm gặp
BSCKI Trần Quang Khanh, Khoa Phẫu thuật chi dưới, Viện Chấn thương Chỉnh hình, Bệnh viện Quân y 175, một trong những bác sĩ trực tiếp tham gia phẫu thuật, cho biết chị H. bị gãy khung chậu kiểu "gió thổi" - một dạng gãy rất phức tạp, chiếm khoảng 6% các trường hợp gãy khung chậu. Đây là loại gãy do chấn thương năng lượng cao, kết hợp giữa lực nén trước–sau và lực tác động bên, khiến một bên cánh chậu mở ra, bên còn lại khép lại, tạo hình ảnh đặc trưng như 'bị gió thổi'.

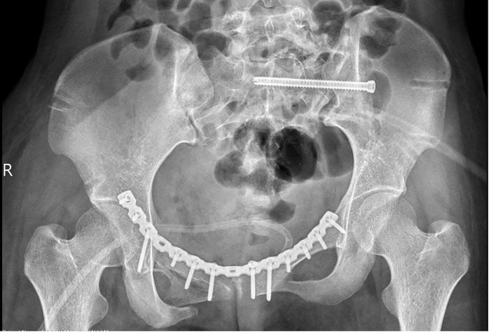
Hình ảnh chụp Xquang của bệnh nhân sau phẫu thuật
Thường tổn thương còn đi kèm gãy xương cùng và tổn thương khớp mu, làm mất vững toàn bộ vòng chậu, gây nguy hiểm tính mạng nếu không được xử trí đúng cách.
"Ở trường hợp này, khung chậu mất vững cả cung trước và sau nên sau khi nắn chỉnh, chúng tôi cố định cung trước bằng nẹp vít và cung sau bằng vít xốp" – BS Khanh cho hay.
Theo BS Mừng, vài năm gần đây, Bệnh viện Quân y 175 đã tiếp nhận và xử trí thành công nhiều trường hợp gãy khung chậu phức tạp, trong đó có một số ca gãy kiểu "gió thổi". Tuy nhiên, đây là một trong những ca hiếm hoi bệnh nhân bị đa chấn thương kết hợp nặng mà vẫn được cứu sống và phục hồi tốt, nhờ kích hoạt kịp thời hệ thống "báo động đỏ liên chuyên khoa".
Bình luận (0)