Sáng 24-11, Bệnh viện Mắt TP HCM cho hay vừa tiếp nhận cấp cứu nam bệnh nhân 27 tuổi bị tai nạn lao động đinh bắn vào mắt. Tai nạn xảy ra khi nạn nhân sử dụng súng bắn đinh vô tình bóp cò, đinh bung ra và lao thẳng vào mắt trái.
Tại bệnh viện, kết quả kiểm tra khẩn cho thấy đinh bắn xuyên mắt, thủng nhãn cầu và cắm sâu vào hốc mắt, nằm sát dây thần kinh thị giác, nguy cơ mất thị lực vĩnh viễn.

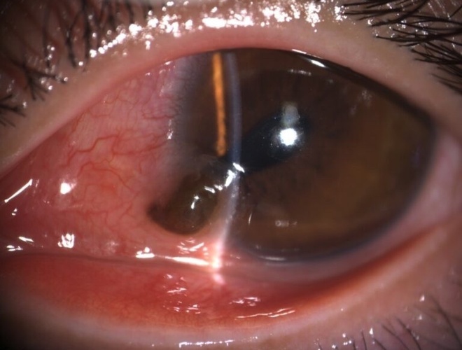
Mắt bệnh nhân tổn thương vì bị đinh bắn trúng
Bệnh nhân được gây mê toàn thân, phẫu thuật khẩn cấp. Các bác sĩ lấy trọn chiếc đinh, khâu kín các vết rách và sử dụng kháng sinh phòng nhiễm trùng, đồng thời tiêm ngừa uốn ván.
Theo các bác sĩ, chấn thương mắt do vật tốc độ cao thường có biểu hiện ngoài rất nhỏ nhưng mức độ tổn thương bên trong lại nghiêm trọng. Việc bệnh nhân không dụi mắt, không cố rút dị vật và được đưa đến bệnh viện kịp thời là yếu tố quan trọng giúp bảo tồn cấu trúc nhãn cầu. Nếu xử trí sai, tình trạng dễ nhanh chóng dẫn đến viêm nội nhãn, hoại tử, mất thị lực hoặc phải bỏ mắt.
Dị vật xuyên nhãn cầu được xếp vào nhóm cấp cứu nhãn khoa, trong đó thời gian đóng vai trò quyết định. Bác sĩ khuyến cáo khi nghi ngờ có dị vật trong mắt, người bệnh cần che mắt bằng vật cứng rỗng như ly nhựa hoặc tấm chắn, tránh cử động nhãn cầu, hạn chế cúi rặn, ho mạnh và nhanh chóng đến bệnh viện chuyên khoa mắt. Không dụi mắt, không tự rút dị vật, không tự ý nhỏ thuốc hoặc đắp lá.
Trang bị đầy đủ bảo hộ lao động
Tai nạn lao động lần này là lời cảnh báo rõ ràng đối với người lao động thường xuyên tiếp xúc với thiết bị gây mảnh văng như máy cắt, máy mài, búa, đục, súng bắn đinh hoặc máy cắt cỏ.
Việc đeo kính hoặc mặt nạ bảo hộ đạt chuẩn cần được tuân thủ nghiêm bởi chỉ một khoảnh khắc chủ quan có thể khiến mắt bị xuyên thủng và dẫn đến tổn thương. Các cơ sở sản xuất và công trình cũng được khuyến nghị trang bị đầy đủ bảo hộ và huấn luyện an toàn để giảm nguy cơ tai nạn tương tự.
Bình luận (0)